关注我们:
  • · 权威专家团队
  • · 技术先进新颖
  • · 20年安全塑美
全国咨询热线:13901352935
当前位置:首页 > 眼部案例 > 上睑下垂

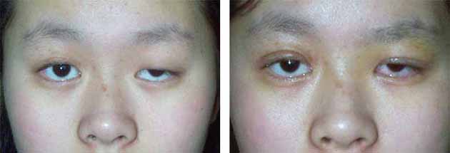
求美者16岁,上睑下垂矫正术后40天

发表时间:2012-09-05 14:46:08

杜太超 副主任医师

★ 中国实力派美容外科专家

★ 中国美丽文学作家、创始人

★ 中国人民解放军副师级干部

★ 资深商界政界名仕美容顾问

★ 卫生部高级职称考试命题专家组成员

★ 《中华医学美学美容杂志》编辑部主任

★ 《Aesthetic Plastic Surgery》
  (美国)面部年轻化专题审稿人

案例展播